An urgent request to anyone deeply concerned by our relentless and accelerating self-destruction for help in exposing the apparent cause of our collective insanity.
A re-discovery of ancient knowledge with profound implications that has been staring us in the face forever and at some level we already know.
It might be enough to simply point at the evidence and insist on addressing the one obvious question we have thus far failed to ask.
Introduction and Video
The emergence of hierarchical and increasingly tyrannical patriarchy is a symptom of a catastrophic, slow motion and nearly imperceptible structural failure in our new brain.
In other words, the global pandemic of industrial-scale self-harm we have created and the myriad of associated mental health problems we think of as normal are the inevitable consequences of serious brain damage.
This neurological condition has created a recurring pathocracy that is always dominated by the same spectrum of society’s most cognitively and perceptually compromised.
The Emperor's New Clothes.
In the tradition of ‘The Emperor’s New Clothes’ (and very bad humour) this is quite literally a call to arms. A request for volunteers to point out and expose what almost everybody already knows at some level and our distant ancestors tried to warn us about. With sufficient co-ordination simply providing a catalyst for debate and tapping into the depth of what we already feel by addressing the one obvious question we have failed to ask may be enough to break the spell.
Point relentlessly at the evidence and raise the most obvious questions;
'Is it remotely possible that the catastrophic atrophication of our new brain is in any way connected to our obvious insanity???'
'Is there any evidence that we are behaving like a species with serious brain damage because we have serious brain damage???'
(It does require that the question of our neural integrity is seriously and thoroughly addressed rather than being summarily dismissed)
Follow the relevant data while ignoring current interpretations of said data just to see if it could fit such a simplistic interpretation.
If the data can be interpreted as a headline diagnosis of 'species wide dementia' that should surely be of some interest?
If the same interpretation is even partially endorsed by a knowledgeable cross-section of relevant academic society then what, aside from feeling quite nauseous?
Given the complex implications of the diagnosis, anything less than an urgent response until a thorough and rigorous examination is complete would be quite worrying.
This may be a real and simple opportunity to stop our self-destructive madness dead in its tracks by pointing to the evidence and calling it what it is; catastrophic failure of our new brain.
An appeal for global collaboration to deliver a mind virus into the hierarchical matrix of madness that is designed to initiate a chain reaction.
The objective is to expose the herd of woolly mammoths in the room, the cause of our collective insanity being exactly where it would be that in turn will demand an appropriate response.
I have been testing and tweaking this simple idea for years as the implications are beyond staggering and I wanted to make sure it held together. It could have been further developed but time is running out and being an ageing Aspie male with a version of the condition outlined below I do not have the necessary skills or resources to further develop, communicate or deliver what is little more than a modern translation of the perceptual catastrophe our ancestors warned us about.
The core elements are very simple and mostly self-evident once you know where to look and what to look for.
The causal context is a bit more complex though an outline theory exists and was part of the material reviewed by those below.
However as the idea is both obvious and shocking you may need to suspend your initial disbelief, so before proceeding please take a quick look at the typical responses to the basic diagnosis.
This reaction from a broad spectrum of some of society’s sharpest minds in fields as diverse as ecology, anthropology, neurobiology, psychology, pharmacology, philosophy and psychedelic research that have between them more than enough cognitive capacity and knowledge to make such an assessment.
“This is a totally new way of looking at the evolution of the human brain. It is so totally fresh, unexpected and hitherto un-thought-of that it will probably take a long time before evolutionary anthropologists and psychologists begin to take it on board; but it will make an impact, of that there is no doubt. It will be, it must be, taken very seriously in any discussion of human origins” Prof. Colin Groves - (Professor of Biological Anthropology at the School of Archaeology & Anthropology, Australian National University and author of several books including A Theory Of Human And Primate Evolution and Bones, Stones and Molecules).
“If we have alienated ourselves from nature and our original state of wholeness, there may be a way back. This is a startling book that makes us rethink the most fundamental issues of religion, psychology, and philosophy.” Richard Heinberg (Post Carbon Institute)
“Can modern human brain research help us understand how we got into this huge environmental mess? Left in the Dark offers a provocative and original answer to the most important question of our time.” Linda Buzzell-Saltzman (IAE)
“A truly amazing book” Prof. Robert Greenway Professor Emeritus of Psychology (SSU)
“Thank you for writing such a great manuscript” Amanda Feilding (Director of The Beckley Foundation).
“A revolutionary view of human evolution” Dr Michael Winkleman Professor, School of Human Evolution & Social Change (ASU)
“A stunningly innovative and challenging theory But it takes an interdisciplinary cast of mind to fully understand it.” Dr Dennis McKenna (Heffter Research Institute)
“It adds a whole new dimension to the task of defining 'normal' behaviour.” Tim Smit (The Eden Project)
“Very interesting! Many thanks” Martin Rees. Baron Rees of Ludlow. President of the Royal Society.
“Many thanks for your fascinating article.” Stanislav Grof M.D., Ph.D. (Founding president of the International Transpersonal Association).
"How absolutely fascinating. I am going to read more of what you have to say and think about it." Lesley Rogers Emeritus Professor (U.N.E. Neurobiologist)
“This courageous book deserves careful critical attention.” Prof. Ashok Gangadean (Global Dialogue Institute)
“This is a marvellous eye-opener. One can only hope that this book will become a word-of-mouth best-seller, because this is a message we all urgently need to hear and learn from.” Andrew Morrice. M.D.
Re savant ability; “I've come more and more to the conclusion that rather than there being right hemisphere compensation, there is rather release from the 'tyranny' of the left hemisphere.” Darold Treffert M.D. Clinical Professor (Department of Psychiatry University of Wisconsin Medical School, Madison).
“WOW That is a wonderful article. Unless we do something radical it is bye bye” Prof. Michael A. Crawford. PhD, CBiol, FIBiol, FRCPath. (Director of the Institute of Brain Chemistry and Human Nutrition).
Such an initial response to such a staggering proposal strongly suggests that drawing mainstream attention to the basic diagnosis is worth a serious shot as it will not be so easy to ignore particularly once the underlying data starts coming into focus?
The Diagnosis that explains our unrelenting propensity for self-harming behaviour.
A progressive and catastrophic failure in the most recently emerged and cognitively advanced areas of our perceptual equipment or to put it more bluntly; serious neurological damage.
The condition afflicts males to a greater degree than females and accelerates within a lifetime and through the generations.
Essentially a form of dementia that leaves us increasingly blind to its nature and more recently blind to its very existence even when we are confronted with overwhelming evidence. Symptoms include varying degrees of anosognosia, denial, delusion, confabulation, fear, paranoia, aggression, need for control, reduced intelligence, empathy, compassion, awareness and perception, limited to concepts that are mistaken for reality* and very easily frightened or stressed etc.
* This is a relatively recent and very dangerous symptom so worth expanding; As the juvenile new brain rapidly overly matures and differentiates (becomes more primitive) it is increasingly susceptible to being governed by and identifying with primitive conditioned behaviour. Essentially brainwashing, beliefs and indoctrination that become increasingly disconnected with reality over time. This causes ever greater cognitive dissonance when we are confronted with reality and has left us extremely vulnerable to exploitation and Orwellian social engineering on a global scale.
Ironically we are increasingly being programmed to believe and the justification for our current societal structure is based on the premise that we are the evolutionary product of intense competition when we are perhaps one of the most complex symbiotic and co-operative species biology has ever produced.
OK time for the headline piece of evidence, this is essentially a snapshot of what we are really dealing with.
Remember, “If at first the idea is not absurd, then there is no hope for it.” Albert Einstein.
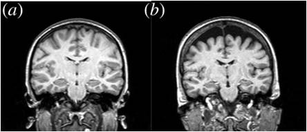
Selective Atrophy of Left Hemisphere and Frontal Lobe of the Brain in Old Men
Reading the abstract or introduction alone is enough to confirm what image (b) is telling us, massive erosion in the most recent
and advanced areas of our perceptual equipment, our new brain is literally withering away.

This is basically an unmodified selfie that exposes the underling and obvious cause of our current predicament.
Think about the emergence of dominator culture and the current hierarchical patriarchy of old men that have shaped our recent history and drive our society’s industrial-scale self-harm then read it again.
To be absolutely clear this is not just the ageing male brain, the condition originates during earliest development in the uterus and afflicts everyone one of us by degrees.
The associated psychological symptoms and perceptual limitations are variable and long precede the structural failure and withering of our neural system.
Those same psychological symptoms have left us nearly blind to the nature of the condition and dismissive or even hostile when confronted with its evidence.
Also and most importantly it is nobody’s fault.
Cause?
I won’t overly dwell on how this may have happened as it does little to deflect from the immediate relevance the severe neurological atrophication has to our hierarchical societal structure. It is as many people already instinctively know quite literally a hierarchy of increasing madness. However, an overall outline has been pieced together that seems to fit the data and accords with ancestral tradition. Also, treatments are discussed elsewhere in detail but suffice to say effective treatments with the potential to radically and rapidly alter our current societal trajectory already exist.
Briefly.
The cause, post symbiotic reversion, the effect, post symbiotic dementia leading to a self-inflicted apocalypse without ever knowing why.
Our new brain (neo-cortex) was not the product of classic adaptive selection but a by-product of a very unique symbiotic relationship with the female reproductive organs of the flowering plants. Our rapidly proliferating neo-cortex was an incredibly rare emergent structure with equally rare emergent traits (advanced cognitive function, hi-resolution sense of self, deep sense of inter-connectedness and empathy etc) that were completely dependent on maintaining the symbiotic relationship.
The symbiotic relationship juvenilised our mammalian hormone and reproductive system, this resulted in the emergence of a more juvenile new brain during fetal development and led to a slow but exponential juvenilising feedback loop.
Eventually, the accelerating feedback loop resulted in the accelerating proliferation of extremely juvenile neural tissue, our neo-cortex, this is why it tripled in size in the evolutionary blink of an eye. When the symbiotic relationship broke down our extremely juvenile new brain was slowly exposed to our undiluted mammalian hormones and began to mature and age. Relative to our symbiotic origins this is the equivalent of premature and extreme ageing even during earliest development. Aside from early and over maturation, the new tissue cannot be held by our genome beyond the mammalian juvenile window and slowly erodes away as we mature.
Our neo-cortex was simply the expression and proliferation of extremely immature and delicate neural tissue during a 50 million year symbiotic relationship with the juvenilising female reproductive organs of the angiosperms.
There are reasons why a large mass of undifferentiated embryonic neural tissue would confer very rare 'advanced' traits, they are discussed here.
To be clear if there is a serious failure in our collective perceptual equipment then we have zero chance of dealing with the overwhelming symptoms such failure would cause.
While confronting such a catastrophic failure in our neural system would be challenging it would reduce the cause of our overwhelming problems to a treatable human scale condition.
Once treated the symptoms including our out of control self-harming will automatically resolve.
For the last 25 years, I have been developing a Trojan horse that is designed to deliver a ‘magic bullet’, a shocking yet obvious and increasingly well-evidenced diagnosis of our collective madness. If it can be sufficiently widely distributed that it reaches a critical mass of mainstream awareness and results in discussion and heated debate etc that will be enough to begin exposing the evidence, slowly overcome our perceptual blindness and bring it into our collective awareness.
Once exposed the simple idea of species-wide brain damage that afflicts some than others will demand an urgent response and the causal level of our collective insanity can be treated.
So this is a request for members and coordinators of activist organisations to share across multiple platforms, press releases, statements or anything else that might help etc.
Basically, an open-source project to hack the collective delusion and break the spell before the most damaged part of our brain takes us past the point of no return.
The Trojan horse can be delivered in many guises, in its basic form it will likely find immediate favour with a significant section of society that already know the hierarchical patriarchy and its increasingly unhinged behaviour is basically insane and that will be an essential part of the equation.
My primary objective is a male-friendly version that will engage an initial response (supportive and hostile) and illicit efforts to prove or disprove. That process is key assuming the theory holds, the more heated the debate the more data cited the more the diagnosis will become self-apparent to those with some capacity to perceive reality.
Activism.
So unless I acquire a major global media conglomerate in the next few months which would be quite handy, I am thinking a campaign to initiate discussion and debate from social media through various levels of mainstream media and anything else that might draw attention.
Something as simple as these hooks may be enough if widely disseminated via press release, articles, journalists, blogs, statements etc such that they cause a mainstream response at which point the condition will begin to expose itself via the inevitable heated debate.
Of course, I would suggest trying any format or approach that draws attention to the basic neuro-degenerative data and its potential societal impact that you think might be effective.
Possible template for networking.
Remember the reason I am requesting help is that I am not a natural networker so please use your own best judgement re content and format.
The Emperor’s Neo Cortex
Is the emergence of patriarchal society and an increasingly tyrannical dominator culture a symptom of catastrophic brain damage that afflicts men more than women.
or
Who would have thought, our collective insanity turns out to be the result of catastrophic brain damage.
or
A new theory offers a simple and obvious explanation for our descent into madness and why we missed the mountain of evidence staring us in the face; serious brain damage resulting in dementia-like symptoms that we mistake for normal behaviour.
or
Turns out the least functional members of society have really taken over the asylum; society’s patriarchal hierarchy is in fact a hierarchy of severe neural dysfunction.
or
Turns out the lunatics really have taken over the asylum; society’s patriarchal hierarchy is in fact a hierarchy of severe neural dysfunction.
or
To make sense of the world we live in you simply have to ask the right question and keep digging; is it possible we are suffering from serious species wide brain damage?
or
A mind-blowing theory of human origins that explains why our minds have been blown for a long time.
etc
Then below each heading
If there were any evidence whatsoever that the most advanced areas of our brain were suffering catastrophic failure and some of those most afflicted always try to take control how should we respond?
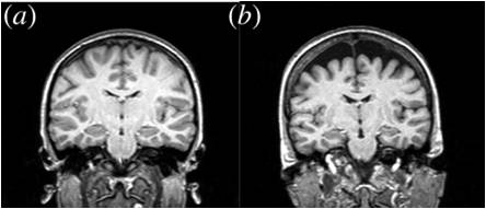
Selective Atrophy of Left Hemisphere and Frontal Lobe of the Brain in Old Men

This is just one example of the evidence for severe neural degeneration, the implications have been missed due to the perceptual and psychological symptoms such severe degeneration is known to cause.
Support for the basic proposal is growing; from academics to radical thinkers there is consensus that the evidence is everywhere once you make the effort to look for it.
“A truly amazing book” Prof. Robert Greenway (SSU)
“ A revolutionary view of human evolution” Dr Michael Winkleman (ASU)
“A stunningly innovative and challenging theory” Dr Dennis McKenna (Heffter Research Institute)
“It adds a whole new dimension to the task of defining 'normal' behaviour.” Tim Smit (The Eden Project)
“It is an enlightening read that is timely” Peter Bennett (ex Police Superintendent, founder ReHealth)
“ It will be, it must be, taken very seriously in any discussion of human origins.” Prof. Colin Groves (ANU)
“This courageous book deserves careful critical attention.” Prof. Ashok Gangadean (Global Dialogue Institute)
“Left in the Dark offers a provocative and original answer to the most important question of our time.” Linda Buzzell-Saltzman (IAE)
“This is a startling book that makes us rethink the most fundamental issues of religion, psychology, and philosophy.” Richard Heinberg (Post Carbon Institute)
The cause is a bit more complex; ‘Post symbiotic asymmetric reversion’ and ultimately post symbiotic dementia, an outline hypothesis here.
The really exciting news is that effective initial treatments are already known but inadvertently repressed by those most severely afflicted, exactly as the neurological and psychological data predicts.
This is a jpeg converted from a Word/pdf compilation from material above, perhaps a number of better quality flyers like this or similar press releases might helpful?

Legal implications, reason and the rule of law?
Aside from the somewhat mind-blowing implications from our personal lives to wider societal structure the neurological data casts fundamental doubt on the foundation of our legal systems.
We have been brainwashed to blindly follow the rule of law despite a significant body of law being created to repress dissent and maintain control by the very echelon of society most afflicted by neurological damage.
Using some of the legal systems own definitions it would seem there is at least reasonable doubt that the foundation of our legal system is 'safe' as our capacity for reason has been seriously compromised, particularly in the demographic spectrum of society responsible for creating the legal system in the first place.
This particularly includes the recent barrage of laws that are aimed at preventing us from protecting what is left of our paradisiacal home and laws repressing and eroding our basic human rights.
Also and somewhat ironically laws that restrict or prohibit our ancestral rites to treat and alleviate the underlying condition by modifying our neural configuration so we can more accurately perceive reality and access deeper empathic states of being. If anything should be outlawed it is our current neural configuration as the evidence for its potential and actual malevolence is overwhelming.
In our current mentally compromised state I am not remotely suggesting anarchy as that would likely be disastrous, rather a return to the ancient definition of Common Law ‘That which derives its force and authority from the universal consent and immemorial practice of the people.'
For all of recorded history and no doubt long before a tiny fraction of society has recognised the symptoms of tyranny in all its guises and risked everything including their lives to protect the rest of us. Despite their heroic efforts, the inexorable rise of tyranny in the form of hierarchical patriarchy and the increasingly industrial-scale self-destructive global pathocracy has been unrelenting and accelerating. We now inhabit a dominator culture that demands total compliance on pain of death that everyone be enslaved and take part in a make-believe game of global Moronopoly that has turned our paradisiacal home into a living hell.
The only thing that will redeem mankind is cooperation. Bertrand Russell
Networking Resources
Links to headline and contextual data that explain our current predicament.
Operation 'The Emperor's Neo-Cortex'