I recently re-watched 'The Matrix'. I was reminded how accurate the film’s analogies were in regard to being trapped in a life of all encompassing delusion. Not surprising really, as some of the film’s influences originate in ancestral traditions that allude to a divine lost state followed by a prolonged slide into degeneration and delusion.
What follows is a test to find out if you still have the perceptual capacity to recognise how and where the matrix 'has you', and ultimately how to begin to hack the matrix. It is also a demonstration of how much resistance a very old but challenging idea can evoke, even when using a culturally familiar and conceptually relevant film as a vehicle.
It's the question that drives us...
Do you want to know what it is?
Would you take the red pill, or have we already taken the blue pill without realising?
The data you are about to see predicts, for many, a near impenetrable firewall when it comes to making the connection between objective neurological and psychological data and our subjective experience, or perception of reality. In other words, the data is telling us that our capacity to recognise the nature of our predicament is very seriously compromised and that we will resist. However, a few people already know, and some can see it very quickly. Some take several goes and need time to let the data percolate through their psychological defences, while others are so locked into their neurological matrix it simply cannot be seen. Conversely once you do see its obvious simplicity, it is hard to imagine how it was missed for so long.
Also be warned, once seen it cannot be unseen.
A few initial thoughts and questions to set the scene, plus a video intro.
Trapped in the matrix of our own failing neural architecture, our ancestors inadvertently took the blue pill a long time ago, and we have all been imprisoned in a self-imposed insane asylum ever since.
Is it possible we humans are the innocent casualties of a once highly advanced but now badly broken neural system that has trapped us in a downward spiral for so long that all encompassing delusion and industrial scale self-harm are now a normal part of our experience and the cultures we create?
How did human society end up stuck in a recurring nightmare of increasingly global pathocracy and a revolving door of so called ‘civilisation’ collapse and reboot that would be the inevitable result of such extreme perceptual and behavioural dysfunction?
What is the connection or common factor between the emergence of hierarchy, patriarchy and dominator culture with its default of increasing tyranny, control through fear, industrial scale self-harm, ecocide and personal conflict through to global wars etc?
I have been trawling the relevant literature in preparation for writing an academic paper on humanity’s symbiotic origins. After more than 25 years of research it now feels quite surreal that the mountain of evidence for our brain being in the final stages of a slow motion train wreck has been almost completely missed.
Paradoxically, and simultaneously, this inability to perceive the nature of our condition is exactly what the same neurological and associated psychological data predicts (see links below).
Our increasingly urgent efforts to address the symptoms of our collective insanity have, at least in recent times, failed to give serious consideration to the most obvious candidate for its underlying cause: the structural and functional integrity of our perceptual equipment (in other words, whether our brain could be seriously broken).
Over the years I have found a woodlands worth of academic papers that clearly identify evidence for major structural failure, chronic neuro-chemical deficiency, and huge loss of function in the most advanced areas of our perceptual equipment, that by degrees afflict everyone of us.
The same evidence suggests that the emergence of an increasingly deluded hierarchical and patriarchal societal structure is nothing more than late stage symptoms of the underlying neurological condition and simply reflects one end of the spectrum of structural failures in our collective perceptual equipment.
Our neo-cortex and particularly our frontal lobes, are considered by many to be the most recently evolved and functionally advanced part of our perceptual equipment.
These recently acquired areas of our brain can confer a number of unique traits such as highly advanced contextual cognition, a sense of self and awareness of others, a deep feeling of inter-connectedness and empathy as default, and even hints of what we call the divine etc. That being so, then any evidence at all for the tiniest structural flaw in our advanced neural systems, in even a small percentage of the population, would (you might think) be a case for immediate and serious concern, no?
If only there were some evidence, even a hint that all was not well with our neural system and associated state of mind, then we could at least factor in the massive consequences of such a scenario while urgently prioritising its repair.
The first part of the test.
Just a quick reminder,
Before proceeding.
Most of this test might be considered somewhat harsh and typically male orientated so as a preliminary exercise (unless you already know the film) please read the plot and watch the video clip as it is a pretty good analogy of what is being attempted.
50 First Dates, a rather cheesy romantic comedy with an intriguing perceptual plot.
In this case we are somewhat like the character Lucy and completely unaware of the serious brain injury we have suffered even though our lives are increasingly impacted by personal and societal symptoms we describe as 'insane'.
The video footage compiled by Lucy's boyfriend is intended to gently explain to her the nature of the neurological damage and perceptual condition she suffered in a car accident she has no awareness of. The footage is the equivalent of the data you are about to see that is intended to offer a very obvious explanation for our current predicament that if correct will immediately help us to make sense of reality or at least help us understand our inability to make sense of reality.
It is also a reminder that whenever possible, attempting to update ones reality by whatever means should be approached with as much compassion as possible as it can be quite challenging. However, sometimes an element of shock is helpful and even necessary to breakthrough the psychological defences the neurological condition creates.
So your first task, read this paper very carefully and consider the implications for current hierarchical and patriarchal societal structures and also how it relates to your own perception and your ability to assess the information.
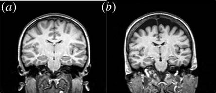
Selective atrophy of left hemisphere and frontal lobe of the brain in old men.
This is perhaps the single most compelling piece of evidence, an academic paper that quantifies the nature and degree of the catastrophic structural failure in our advanced new brain.
There are many more but this is one of the clearest and even has an image showing the degree of failure.
If you are unfamiliar with the language format or terminology you don't need to read the paper though a quick look at the abstract or introduction will confirm that the image (b) below shows massive loss of neural tissue from the most recent and advanced areas of the perceptual equipment you are using right now to take this test.

What kind of response should species wide structural failure of these advanced perceptual systems elicit?
Again how might this relate to our current societal structure or to put it more simply who is at the helm of our society and if they are severely neurologically and perceptually compromised is it really a good idea for them and everyone else?
Related
Brain charts: first comprehensive view of how the brain changes over a lifetime
Your brain expands and shrinks over time — these charts show how
A common initial reaction to the data in the paper and image above is along the lines of 'well this is just about old peoples brains'.
If that is your reaction, this bit is for you.
Even if it was 'just about old peoples brains' the current direction of society is heavily influenced by old peoples brains, particularly old men's brains.
However it is not about old peoples brains this is simply the most easily recognisable snap shot of the end of a slow motion atrophication and erosion process that afflicts everyone including me and you.
That process is long preceded by major detrimental changes in neural architecture that in turn result in perceptual and cognitive atrophy and a progressive inability to recognise such changes.
The dysfunction is a lot more obvious in your left hemisphere as it is more rapidly and severely afflicted, unfortunately and somewhat paradoxically it currently plays a more dominant role in our normal sense of self greatly compromising our capacity for mental health self-assessment.
This is reflected in the associated neurological and psychological data that accurately predicts a more rapid perceptual descent of the left hemisphere into dementia like denial even when confronted with overwhelming evidence for very serious dysfunction.
Even more disturbing is an apparent loss by the left hemisphere of any capacity at all to be aware of its dysfunction particularly as the condition becomes more severe. The medical term for this lack of capacity to be aware of ones dysfunction is anosognosia, a quick search reveals its prevalence particularly when the left hemisphere is perceptually exposed.
A selection of papers provide evidence that our own hormones cause serious structural failure in our new brain during earliest development and affect our left hemisphere more than our right hemisphere.
Bear in mind that despite our overwhelming symptoms of insanity being recognised as such by at least a small section of society for a very long time nobody is currently looking for evidence of species wide dementia, any ideas why that might be?
This kind of data is just what has emerged incidentally, there is a lot more once you start looking. So of course there are and will be several existing explanations within the current paradigm for pretty much any piece of the jigsaw that could fit and create a picture revealing we have species wide dementia. However getting all the jigsaw pieces to fit into a coherent picture does seem to require turning everything we have told ourselves about how intelligent and advanced we are on its head. Also, and quite ironically, there seems to be some consensus that our left hemisphere has a significant deficit in its ability to perceive complex context while our right hemisphere has superior pattern recognition ability. So if there is even a slightly complex picture regarding the cause of our neural atrophication we may be ever less able to spot it as time passes and the atrophication progresses. Interestingly this fits with a common theme in our ancestral traditions that alludes to a serious perceptual condition and a descent into all encompassing delusion. If we are suffering a serious neurological condition the evidence would have to exist but having the capacity to spot it may be quite literally eroding away before our eyes.
What is clear from the data below is the central role our own mammalian sex hormones such as oestrogen and testosterone play in the design or configuration and functioning of our perceptual equipment. These all powerful steroid hormones can be seen simplistically as agents of ageing as one of their major roles is to instruct the organisms DNA to initiate and regulate the process of maturation. Currently and somewhat strangely that role appears to result in asymmetric hemispheric dysfunction and structural erosion and it begins in the earliest stages of our development. BTW so called normal ageing and the degree of atrophication, erosion and associated perceptual symptoms are virtually unique to the human brain.
Early hypothesis from May 1985
Building evidence from Jan 1995. Aug 2002. Oct 2003. Jun 2008. Jan 2012. June 2013. Feb 2018. Nov 2018. July 2019.
NB. If we had not spent the vast majority of our evolutionary past in a bizarre symbiotic relationship with the anti-ageing, neuro-protective and neuro-proliferation friendly angiosperm reproductive system (think the complete opposite of ageing) then maybe settling for 'normal ageing' might seem less of a stretch to explain our dissolving new brain...
To put it another way, relative to our symbiotic ancestors we have suddenly been exposed to high levels of steroid activity at all stages of our growth and development after their powerful effects were inhibited for tens of millions of year.
Steroids instruct the genome to differentiate and mature or biologically age, the same pattern of over-aging is amplified by further increasing exposure to steroid activity.
Anabolic-androgenic steroids and brain injury: miRNA evaluation in users compared to cocaine abusers and elderly people
Long-term Anabolic–Androgenic Steroid Use Is Associated With Deviant Brain Aging
Steroids Linked to Structural and Volume Changes in Brain White and Grey Matter
What the neurological atrophication paper cannot tell you is how it feels to have a major structural failure in your perceptual system. The psychological evidence suggests that our inability to feel the impact of serious neural failure is one of the key symptoms of serious neural failure (see ‘anosognosia’ in later links).
So the evidence tells us that the most advanced part of our brain is atrophying and is literally withering away, one side more quickly than the other!
The kind of psychological traits associated with such a major structural failure will be more catastrophic than the intellectual concept of structural damage implies (think of our collective behaviour). However any such psychological failings may not be so easy to spot subjectively if the condition is severe.
Evidence for the structural atrophy is relatively objective; interpretation of the evidence for any associated perceptual and behavioural symptoms is inevitably clouded with the risk of self-assessment due to the very nature of the problem.
That being said a selection of papers going back many decades point to varying degrees of delusion as an integral part of our current ‘normal’ state, deciding quite what is normal in such circumstances is a bit more tricky.
Next part of the test.
Watch this video.
The Dunning-Kruger Effect, Cognitive Bias, Why Incompetent People Think They Are Competent.
From the video we can begin to deduce that the objective data is the 'expert' and it is informing us that our perceptual equipment is beyond incompetent when it comes to subjective or self assessment. So the take away is follow objective raw data as it can begin to inform us about the structural integrity of our brain and our associated state of mind. However be cautious of existing interpretations of the data, look for common themes rather than any single conclusion from any single piece of data.
Next, read through some of the abstracts and papers below and watch the videos.
Pay particular attention to ‘Reconciling Psychodynamic and Neurological Perspective on Denial’ and 'The Evolutionary Biology of Self-Deception,Laughter, Dreaming and Depression: Some Clues from Anosognosia' as there is a bit more context.
Papers
On the Perception of Incongruity: A Paradigm
The elements of a scientific theory of self-deception
Unskilled and unaware of it: how difficulties in recognizing one's own incompetence lead to inflated self-assessments
Reconciling psychodynamic and neurological perspective on denial.
The Anosognosic’s Dilemma: Something’s Wrong but You’ll Never Know What It Is
Failure to Detect Mismatches Between Intention and Outcome in a Simple Decision Task
Dunning–Kruger effects in reasoning: Theoretical implications of the failure to recognize incompetence
The Evolutionary Biology of Self-Deception, Laughter, Dreaming and Depression: Some Clues from Anosognosia
Why Facts Don’t Change Our Minds
Judgment under Uncertainty: Heuristics and Biases
Précis of The Enigma of Reason
Videos
Things to keep an eye out for:
The patient in his 'normal' speech based left hemisphere self or state is unaware of or 'feels' no different despite losing the major neural connection to his right hemisphere.
The patient's exposed left hemisphere self demonstrates the depth and severity of its perceptual deficits and the capacity to seamlessly confabulate or lie to fill in the gaps without realising.
Long time split brain researcher Michael Gazzaniga's data is excellent, it accurately predicts not only the obvious and serious deficits in the exposed left hemisphere of the 'patient' but brilliantly predicts his own failure to factor in his own left hemisphere's perceptual limits when assessing his own data, 'Don't leave home without your left hemisphere'.
Split brain behavioural experiments
Severed Corpus Callosum pt_1
Severed Corpus Callosum pt_2
Now that you have seen a selection of evidence that explains how limited and deluded your mind (and everyone else’s) must be, particularly when addressing new or challenging information, try factoring in that information and re-read the neurological atrophication paper at the start of the test, then repeat the process until the penny starts to drop...
Due to deeply conditioned programming (see later) you may initially struggle to perceive reality or feel conflicted and tempted to ignore what you read, stay with it...
This scene from the TV series Battlestar Galactica pretty much sums up the process, the character 'Boomer' discovers water despite being programmed not to causing intense psychological conflict, she almost chooses to self-destruct rather than allow herself to perceive reality.
If you have managed to pass the test already and started to recognise the catastrophic though obvious cause and inevitable depth of our individual and collective dysfunction you may begin to feel something like this.
Attempting to break free from the matrix with a purely conceptual or intellectual hack is by far the least effective approach. Not surprisingly it has become the default mode for attempting to make sense of who or what we are as it is the only mode of function the most withered part of our perceptual equipment is capable of. However this relatively ineffective approach can be significantly enhanced if you are willing to temporarily suspend your disbelief. In the tradition of debating take on board the notion of a collective and individual failure in our perceptual system and attempt to argue the case yourself rather than resorting to defensive explanations or pre-existing concepts or beliefs. Such an approach allows you to escape your programming to some degree and increases the possibility of perceiving what you would have automatically and confidently rejected.
Fortunately there are much easier ways to begin to perceive the reality of our predicament and with it the opportunity to develop a fix at the causal level.
This paper from 1965 implies that stimulating to less withered cerebral hemisphere that still has some capacity to perceive reality can greatly expedite the process of passing the test.
The significance of the temporal lobes and of hemispheric dominance in the production of the LSD-25 symptomatology in man.
(Interesting that imaging data during recent LSD studies reveals brain activity more like that of a baby, see later diagnosis notes).
Similar neuro-chemical hacks have been used by our ancestors for thousands of years when they began to developed treatments to slow the neurological condition and access the cerebral hemisphere that retains some semblance of capacity to perceive reality. Perhaps we should take note and act according to the urgency our current symptoms rather than the dictates of our most withered, deluded and frightened hemisphere?
Applying these more powerful approaches in our current fragile state is not without some risk though the current resurgence in research supports their therapeutic benefits. Overall the data suggests carefully researched and judicious implementation of more powerful hacks carry a minuscule risk and when compared to the devastating personal and global cost we pay for every second we choose to maintain our neurological status quo, it should be a complete no-brainer.
So if you are struggling with the test at a purely intellectual level which is quite a typical result you can always re-take it with appropriately researched bio-chemical 'reality glasses' fitted to your withered lens of perception. Somewhat like the fix applied to the Hubble Telescope that immediately restored its resolution to something closer to its original specification. That such temporary perceptual fixes have existed for millennia yet in recent times we insist on maintaining a state of near perceptual blindness while stumbling into the abyss of unrecoverable madness is perhaps indicative of how far we have already fallen?
However be warned, rapidly accessing and updating your connection with reality can initially feel a bit like this,
and if the assisted update is even partially successful it may well feel this shocking.
Wake up, your own withered neurological matrix has you!
The real matrix is not a computer generated simulation but your increasingly atrophied and eroding neural architecture that can only facilitate a very perceptually restricted and extremely corrupted sense of self. This is exactly the diagnosis our ancestors were trying to communicate to us though is it has mostly been lost in fragmented or distorted traditions and a complex contextual language we can no longer understand.
My objective has been to make a case that is beyond reasonable doubt for a serious neurological condition with severe perceptual symptoms being the underlying cause of our industrial scale self-harming behaviour.
Given the initial response from a broad spectrum of society's sharpest minds I am now convinced that the case well exceeds the threshold of reasonable doubt and will stand scrutiny and demand effective treatments.
However that can only happen if we are willing to confront the evidence and seriously address the questions such evidence raises that will in turn fully expose the condition.
So did you pass?
If you have managed to break through the firewall of delusion and anosognosia and spotted the screamingly obvious; that the catastrophic structural failure in our own perceptual equipment is the inevitable cause of our collective delusion and self-destructive insanity you are in a tiny but growing minority.
Even if you did not make the connections and think the case is as yet unconvincing it must surely be worth giving it serious consideration if only to rule out such a simple and obvious explanation?
If there is any chance at all that a serious neurological condition underlies our collective insanity then attempting to address the inevitable multitude of symptoms without treating the cause would and will be a complete waste of time.
The most powerful solution to hack the hierarchy of delusion and the additional layers of suffering its emergence has imposed on everyone is to expose its flawed neurological foundation. Once the simple truth that our perceptual equipment, our once advanced neural system has suffered major structural failure the status quo will become untenable and urgent solutions will be demanded (well maybe).
Drawing attention to such an obvious cause maybe enough to expose it and initiate a chain reaction, see Operation 'The Emperor's Neo Cortex'.
Headline diagnosis
Our recently acquired and most perceptually advanced new brain is suffering from premature and extreme ageing resulting in progressive atrophication and erosion. It afflicts one hemisphere more quickly than the other and in recent times the most afflicted hemisphere has assumed perceptual dominance. This has plunged us into a form of dementia that leaves us almost blind to its existence and increasingly frightened or even hostile to the condition being exposed.
Contextual Diagnosis
These are just the headlines with a pictorial summary near the end as the broader context is covered in detail elsewhere.
The general condition that affects more than just our brain:
'Post symbiotic reversion.'
More specific to our advanced new brain or our neo cortex:
'Cerebrally asymmetric post symbiotic reversion and or extreme ageing and atrophication resulting in post symbiotic dementia.'
This condition is exacerbated by chronic post symbiotic deficiency in what was an extremely rich cocktail of symbiotic neuro-active compounds and symbiotic neuro-protective biochemistry.
Our greatly expanded neo-cortex (new brain) was simply the product of an increasingly juvenile reproductive system.
This occurred during a long period of symbiosis that modified and progressively juvenilised our reproduction and fetal transcription environment and as a result amplified and extended the normal intrauterine neural proliferation window.
Our mammalian transcription environment and particularly our fetal transcription environment was modified by a symbiotic relationship with the female reproductive system of the angiosperms via the ingestion of their juvenilising reproductive organs (swollen ovaries).
The female mammalian reproductive system has evolved to provide a slowly maturing transcription environment suitable for embryogenesis right through to functional juvenile stage of development.
The female angiosperm reproductive organ has evolved to provide a highly juvenile transcription environment suitable for embryogenesis and very early stages of embryo development only.
The angiosperm reproductive system provides a much more juvenile environment that the mammalian reproductive system.
During 50 million years or more of symbiosis this resulted in what was effectively a hybrid reproductive system. The hybrid reproductive system provided a more juvenile transcription environment for the developing brain than a typical mammalian reproductive system can provide. This allowed the brain to proliferate for longer and acquire a new layer of increasingly juvenile neural tissue.
Juvenilised neuro-endocrine system.
The newly emerging layer of neural tissue was slightly more juvenile than the previous neural structure and it ran a slightly more juvenile neuro-endocrine regime including during the fetal development of the next generation. (In addition or alternatively the juvenilisation of the hypothalamus via the inhibition of sex steroids may have played a significant role)
The incremental juvenilising effect need only be minuscule to initiate a slow but exponential feedback loop.
If the symbiotic relationship is stable for long enough the feedback loop eventually accelerates into a runaway juvenilising feedback loop.
The juvenilisation effect becomes extreme in the symbiotic or hybrid reproductive system.
The new brain rapidly proliferates into a colossal mass of embryonic neural tissue with little or no differentiation, more like the proliferation of a giant jelly fish out of the earlier neural system.
It is this huge mass of embryonic neural tissue that set us apart, such tissue has the unique capacity to behave in synchronised unison, lighting up as if it were a single neuron.
This capacity for whole brain coherence opened the doors of perception by scaling up sub-cellular quantum coherence into a powerful and coherent macro quantum state.
Summary and links on this page.
This is a pictorial summary dating back to an early conference presentation in 1998, better resolution pdf here.
I would be more flexible with the timelines as the symbiotic relationship is very dynamic also I would change some of the terminology to focus more on the juvenilising impact of plant reproductive bio-chemistry and the exposure of our embryonic new brain to a relatively ageing environment even in our mammalian uterus whenever the symbiotic relationship breaks down.
However it was a pretty good stab at an initial overview and still covers the basic plot.

I would of course like to update the outline above with a modern 'Mind Map' that would make the context a lot easier to follow, something like the Big Picture or Whiteboard Animation formats from 'Cognitive' storytelling and animation studio.
The project to evidence and translate the ancient ancestral diagnosis of our perceptual decline into a coherent format and simple modern language we can understand and act on has never had much financial support. This has become a serious limiting factor as the conclusions become more readily apparent and the primary objective is now to develop a range of more accessible formats and much wider distribution.
If you are in a position to help with specific projects or ongoing costs please get in touch or please support this project on Patreon @ 'Children of the Forest'; Restoring Our Symbiotic Brain & Mind.
Copyright©2020 Tony Wright